CABINET D'ORTHODONTIE DU DR DECK
Chirurgien-Dentiste et Orthodontiste à Argenteuil
CABINET D'ORTHODONTIE DU DR DECK

6 place François RABELAIS
95100 Argenteuil

Chirurgien-Dentiste et Orthodontiste à Argenteuil

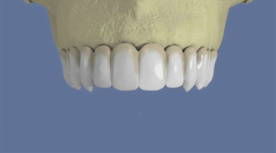
Maxillaire : bridge vissé sans fausse gencive


video-play-icon

Articles similaires

Création par Webdentiste

Connexion