CABINET D'ORTHODONTIE DU DR DECK
Chirurgien-Dentiste et Orthodontiste à Argenteuil
CABINET D'ORTHODONTIE DU DR DECK

6 place François RABELAIS
95100 Argenteuil

Chirurgien-Dentiste et Orthodontiste à Argenteuil

Blog - Page 4

Allongement coronaire

Allongement coronaire

L'hygiène en orthodontie

L'hygiène en orthodontie

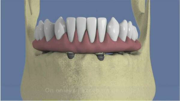
Mandibule complète et traitement implantaire pour un bridge fixe scellé

Mandibule complète et traitement implantaire pour un bridge fixe scellé

La dévitalisation

La dévitalisation

Remplacement d’une dent absente par un bridge

Remplacement d’une dent absente par un bridge

Votre expérience des traitements : 20 ans d'évolution

Votre expérience des traitements : 20 ans d'évolution

Appareil multi-attache lingual

Appareil multi-attache lingual

Corriger le vieillissement péri-buccal grâce à l’acide hyaluronique

Corriger le vieillissement péri-buccal grâce à l’acide hyaluronique

Implant orthodontique : redressement d’une molaire

Implant orthodontique : redressement d’une molaire

La technique de la greffe de gencive

La technique de la greffe de gencive

Orthodontie : la traction d'une canine palatine incluse

Orthodontie : la traction d'une canine palatine incluse

Greffe gingivale libre la technique de l’autogreffe

Greffe gingivale libre la technique de l’autogreffe

Affichage des articles 37-48 sur 216

Création par Webdentiste

Connexion